

生理検査室では主に超音波検査、呼吸循環機能検査、神経生理検査、脳波検査、聴力検査、体成分分析検査などの生体機能検査を行っています。
当院における超音波検査は日本超音波医学会認定の超音波指導医・専門医と超音波検査士が中心に検査を行っています。検査対象は心臓、血管(頸動脈・腹部大動脈・上下肢動静脈・腎動脈)、表在(乳腺・甲状腺・皮膚・関節)、腹部臓器(肝臓・胆嚢・膵臓・脾臓・腎臓・膀胱・前立腺・子宮・卵巣・消化管)など全身の領域を対象としています。
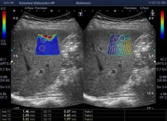
腹部超音波検査では、肝線維化を評価する超音波エラストグラフィ機能を搭載した装置を導入し、肝臓の硬さの程度を数値化して線維化を評価しています。 主に慢性肝疾患患者さんの経過観察や肝線維化進行程度の把握には超音波検査と血液検査における肝線維化マーカーであるM2BPGi、FIB4indexなどと併せて評価することで、総合的に判定することが可能です。超音波エラストグラフィは非侵襲的で簡便な検査のため健診領域においても腹部超音波検査のオプション項目として取り入れています。

超音波診断装置

超音波エラストグラフィ《臨床画像使用》

呼気NO濃度測定器
呼吸循環機能検査には、安静時の標準12誘導心電図や肺機能検査をはじめとし、運動負荷心電図検査、24時間携帯型心電図検査(ホルター心電図)、ペースメーカクリニック、睡眠時無呼吸検査などがあります。呼吸機能検査のなかで呼気NO(一酸化窒素)濃度検査は、気道炎症の指標である呼気NO濃度を経時的に検査することで喘息患者さんの気道の炎症の有無や程度を把握でき、治療の前後に行うことで治療の効果判定に有用です。

体成分分析装置
神経生理検査は、神経伝導検査・自律神経検査などを施行しています。これらの検査は神経の働きや反応をみる機能検査であり、全身の神経機能を検査することにより、神経疾患の原因探索および神経障害の進行度評価を行っています。
体成分分析検査は体を構成する基本成分である水分・タンパク質・ミネラル・体脂肪を定量的に分析し、栄養状態に問題がないか、体はむくんでいないか、身体はバランスよく発達しているかなど、人体成分の過不足を評価する検査です。また部位別の筋肉量・体脂肪量の変化が把握でき、食習慣・運動量など生活習慣の改善や各種治療の効果の確認に有用です。当院では同時に握力も計測し、サルコペニア(筋肉量減少症)の判定に役立てています。
当院では地域の医療福祉施設との連携を大切にし、個人医院・診療所などから超音波検査をはじめとする各生理検査項目について依頼を頂いた場合には、各診療科と連携し迅速に対応させていただいています。